EST EST DENTAL CARE

岩手県紫波郡矢巾町南矢幅8-100-10

019-681-2299

  • 当院について
    • ドクター紹介
    • 治療の流れ
    • 院内施設・設備紹介
  • 当院の診療
    • 一般歯科
    • 大人のための予防歯科
    • 子どものための予防歯科
    • マウスピース矯正
    • 審美歯科
    • インプラント
    • ホワイトニング
    • 歯周病治療
    • 口腔がん検診・顎関節治療
    • 小児歯科
  • 最新情報
    • お知らせ
    • 医院ブログ
  • アクセス
  • 採用情報
  • WEB予約
  • お問い合わせ
  • instagram
EST EST DENTAL CARE
019-681-2299
  • TOPトップページ
  • INFORMATION当院について
    • ドクター紹介
    • 治療の流れ
    • 院内施設・設備紹介
  • CLINIC MENU診療メニュー
    • 一般歯科
    • 大人のための予防歯科
    • 子どものための予防歯科
    • マウスピース矯正
    • 審美歯科
    • インプラント
    • ホワイトニング
    • 歯周病治療
    • 口腔がん検診・顎関節治療
    • 小児歯科
  • ACCESSアクセス
  • NEW TOPICS新着情報
    • お知らせ
    • 医院ブログ
  • CONTACTお問い合わせ
  • RESERVEWEB予約
  • RECRUIT採用情報
  • ご予約はこちら
  • 019-681-2299
  • ホーム
  • 症例
  • マウスピース矯正

case マウスピース矯正

  • 2025/10 マウスピース矯正

    30代女性 前歯のすきっ歯をマウスピース型矯正「インビザラインGOPlus」で改善した症例

  • 2025/10 マウスピース矯正

    30代女性 前歯の出っ歯とデコボコの歯並びをマウスピース型矯正装置「インビザラインGOPlus」で改善した症例

  • 2025/10 マウスピース矯正

    50代女性 1本だけ出た前歯と歯の重なりをマウスピース型矯正「インビザラインGOPlus」で解消し、自然な口元を手に入れた症例

  • 2025/10 マウスピース矯正

    40代女性 上顎前歯の前突と下顎の叢生をマウスピース型矯正「インビザラインGOPlus」で治療した症例

  • 2024/01 マウスピース矯正

    10代女性 前歯の隙間をマウスピース型矯正装置「インビザラインGO」で改善した症例

  • 2024/01 マウスピース矯正

    50代女性 ねじれた前歯をマウスピース型矯正装置「インビザラインGO」で改善した症例

  • 2024/01 マウスピース矯正

    20代女性 ねじれて突き出した前歯をマウスピース型矯正装置「インビザラインGO」で改善した症例

INSTAGRAM当院のインスタグラム

こんにちは😊 エストエストデンタルケアです。 📣【大事なお知らせ】 ⌚2026年1月5日より、平日 こんにちは😊
エストエストデンタルケアです。

📣【大事なお知らせ】
⌚2026年1月5日より、平日午後の診療時間が変わります
旧14:30~18:00
→新14:00~17:30 

昨今の働き方改革を鑑み、診療時間を上記のように変更させていただきます。
今後も皆様にご満足いただける質の良い治療を提供できるよう尽力してまいります。ご不便をおかけしますが、ご理解のほどをよろしくおねがいいたします。

何かお困りごとや気になる症状がございましたら、お気軽にご連絡くださいませ😊

* … * … * … * …* … * …* … * … * … * …* … * …
エストエストデンタルケア
〒028-3615 岩手県紫波郡矢巾町南矢幅8-100-10
⏰診療時間(2025年12月29日まで)
 9:00〜13:00/14:30〜18:00  
 ※土曜日:9:00~13:00/14:00~16:00
  休診日:水曜・日曜・祝日
💻:https://www.estest-dc.com/
📞:019-681-2299

#エストエストデンタルケア#歯科医院#エスト#歯科#岩手県#紫波郡#矢巾町#歯医者#歯科#ムシ歯#歯周病#予防#予防歯科#メンテナンス#定期#安心#安全#小児歯科#矯正歯科#インプラント#審美歯科#診療時間変更のお知らせ#年末年始のご予約はお早めにお願いします
こんにちは😊 エストエストデンタルケアです🦷✨ 【岩手県No.1の症例数✨】 最新歯周病治療機器ブ こんにちは😊
エストエストデンタルケアです🦷✨

【岩手県No.1の症例数✨】
最新歯周病治療機器ブルーラジカルの治療の流れについてご紹介します!

✨2025年4月に導入したブルーラジカル。導入後から多くの患者様の歯周病を治療して好評を得ています。
『歯周病と言われたけど、どうやって治療するの?』と気になっている方、必見です!

👄実は、日本には多くの歯周病患者がいると言われています。しかし8割以上の方は治療せずにそのままにしている状態です。
👆歯周病は進行してからでないと痛みがなく、自覚症状が出る頃には重度まで進行しているケースがほとんどです。
・歯周病と言われ、進行が進んでいる方
・口臭が気になる
・従来の歯周病治療では効果が出なかった
という方にオススメの治療がブルーラジカルです!
💡歯周病は治療しても再発しやすいものです。毎日の歯みがきだけでは取りきれない汚れを定期的にクリーニングに通ってメンテナンスすることが重要になります。

歯に関してのお悩み・ご相談はお気軽にお問い合わせください😌

* … * … * … * …* … * …* … * … * … * …* … * …
エストエストデンタルケア
〒028-3615 岩手県紫波郡矢巾町南矢幅8-100-10
⏰診療時間:9:00〜13:00/14:30〜18:00  
 ※土曜日:9:00~13:00/14:00~16:00
  休診日:水曜・日曜・祝日
💻:https://www.estest-dc.com/
📞:019-681-2299
* … * … * … * …* … * …* … * … * … * …* … * … 

#エストエストデンタルケア#歯科医院#エスト#歯科#岩手県#紫波郡#矢巾町#歯医者#ムシ歯#歯周病#予防#予防歯科#メンテナンス#定期#安心#安全#小児歯科#矯正歯科#インプラント#審美歯科#ブルーラジカル#ブルーラジカル導入医院
こんにちは😊 エストエストデンタルケアです。 📅2025年も残すところあと僅かとなっていしましまし こんにちは😊
エストエストデンタルケアです。

📅2025年も残すところあと僅かとなっていしましました。

☎年末年始は何かと混み合いますので余裕をもってのご予約をおすすめいたします。

💁当院の年末年始休診日のお知らせです
12/30(火)~1/4(日)まで
休診とさせていただきます。
※12/29日(月)は午前診療となっております。

お休みの間、ご迷惑をおかけいたしますが、ご理解の程よろしくお願いいたします。

何かお困りごとや気になる症状がございましたら、お気軽にご連絡くださいませ😊

#エストエストデンタルケア#歯科医院#エスト#歯科#岩手県#紫波郡#矢巾町#歯医者#歯科#ムシ歯#歯周病#予防#予防歯科#メンテナンス#定期#安心#安全#小児歯科#矯正歯科#インプラント#審美歯科#年末年始休診日#ご予約はお早めにお願いします
こんにちは! エストエストデンタルケアです🦷✨   12月の診療スケジュールはこちら📅 年末に向けて こんにちは!
エストエストデンタルケアです🦷✨
 
12月の診療スケジュールはこちら📅
年末に向けてご予約が混み合いやすい時期です。ご希望の方はお早めにご連絡をお願いします。
ご予約お待ちしております😊

💁‍♀️歯に関してのお悩み・ご相談はお気軽にご連絡くださいませ。
* … * … * … * …* … * …* … * … * … * …* … * …
エストエストデンタルケア
〒028-3615 岩手県紫波郡矢巾町南矢幅8-100-10
⏰診療時間:9:00〜13:00/14:30〜18:00
 ※土曜日:9:00~13:00/14:00~16:00
休診日:水曜・日曜・祝日
💻:https://www.estest-dc.com/
📞:019-681-2299
* … * … * … * …* … * …* … * … * … * …* … * … 

#エストエストデンタルケア#岩手県#矯正歯科#審美歯科#歯周病治療#虫歯治療#予防歯科#インプラント#ホワイトニング#かかりつけ強化型歯科診療所 #診療カレンダー #12月
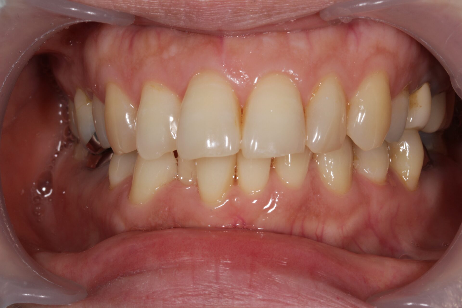
こんにちは🤗 エストエストデンタルケア🦷です。 インビザラインの症例をご紹介します🦷✨ 年齢:1 こんにちは🤗
エストエストデンタルケア🦷です。

インビザラインの症例をご紹介します🦷✨

年齢:10代(女性)
主訴:笑ったときに上の前歯が気になる
治療期間:約6ヶ月(月に1~2回のご来院)
おおよその費用:495,000円(税込み)
リテーナー(保定装置)16,500円

☝️左右上の前歯は歯と歯の間に隙間が生じる「正中離開」で右上の前歯は歯の大きさが小さい歯であることを確。奥歯の嚙み合わせに問題がなく、前歯のみを動かすマウスピース矯正(インビザラインGo)での矯正治療を提案。また、最終的にバランスを整えるために被せ物の必要があることを説明し、同意を得ました。
😁前歯の隙間が解消され、口元がスッキリと美しくなりました。ホワイトニングも併せてご利用いただき、輝く歯になりました。患者様にも「歯が綺麗になって嬉しい」というようなお声を頂き、ご満足いただけました。

治療のリスク:
・決められたスケジュールを守らない場合、十分な効果が得られない可能性があります。
・マウスピースに対応していない症例の場合、治療が難しい可能性があります。
・歯の移動に伴って、痛みや違和感を感じる場合があります。
・正しいブラッシングやメンテナンスを行わない場合、虫歯や歯周病のリスクが高まります。
※保険適用外の自費診療になります。

歯並びについてお悩みの方は、ぜひお気軽にご相談ください💁‍♀️

#エストエストデンタルケア
#歯科医院#エスト
#歯科#岩手県#紫波郡
#矢巾町#歯医者#歯科
#ムシ歯#歯周病#予防
#予防歯科#メンテナンス
#定期#安心#安全#小児歯科
#矯正歯科#インプラント
#審美歯科#インビザラインGo
#インビザライン症例
#ホワイトニング
#ホワイトニング症例
こんにちは😊 エストエストデンタルケアです🦷✨ 11月24日(月) 23:30~23:58 NHK こんにちは😊
エストエストデンタルケアです🦷✨

11月24日(月)
23:30~23:58
NHK WORLDにて、当院でも導入中の最新歯周病治療機器ブルーラジカルが特集されます!
導入以来、多くの患者様の治療をし、その効果の高さに一同感動しております。
見逃し配信等もあるようですので、ぜひチェックしてみてくださいね😊

配信はこちら
https://www3.nhk.or.jp/nhkworld/en/live_tv/

歯に関してのお悩み・ご相談はお気軽にお問い合わせください😌

* … * … * … * …* … * …* … * … * … * …* … * …
エストエストデンタルケア
〒028-3615 岩手県紫波郡矢巾町南矢幅8-100-10
⏰診療時間:9:00〜13:00/14:30〜18:00  
 ※土曜日:9:00~13:00/14:00~16:00
  休診日:水曜・日曜・祝日
💻:https://www.estest-dc.com/
📞:019-681-2299
* … * … * … * …* … * …* … * … * … * …* … * … 

#エストエストデンタルケア#歯科医院#エスト#歯科#岩手県#紫波郡#矢巾町#歯医者#ムシ歯#歯周病#予防#予防歯科#メンテナンス#定期#安心#安全#小児歯科#矯正歯科#インプラント#審美歯科#ブルーラジカル#ブルーラジカル導入医院

Instagramの投稿をチェックする

ACCSESSアクセス/診療時間

EST EST DENTAL CARE

〒028-3615 岩手県紫波郡矢巾町南矢幅8-100-10

東北本線「矢幅駅」より徒歩10分 ※駐車場完備

019-681-2299

WEB予約
診療時間 月 火 水 木 金 土 日
9:00-13:00 ● ● ー ● ● ● ー
14:30-18:00 ● ● ー ● ● ○ ー

○:土曜日午後 14:00-16:00 
※水曜・日曜・祝日休診(祝日等休みがある場合は水曜診療いたします。)

読み込み中... 読み込み中...
第2駐車場のご案内
医院前の駐車場が満車の際は
第2駐車場をご利用ください
診療の流れ
当院は、患者さまをお待たせしないよう
予約制をとっております。
EST EST DENTAL CARE

〒028-3615
岩手県紫波郡矢巾町南矢幅8-100-10
tel:019-681-2299

診療時間 9:00-13:00 / 14:30-18:00 
※土曜日午後 14:00-16:00 
休診:水日祝

instagram

当院について

  • ドクター紹介
  • 診療の流れ
  • 院内施設・設備紹介
  • 当院の施設基準について

診療案内

  • 一般歯科
  • 予防歯科
  • マウスピース矯正
  • 審美歯科
  • インプラント
  • ホワイトニング
  • 歯周病治療
  • 口腔がん検診・顎関節治療
  • 小児歯科
  • お知らせ
  • アクセス
  • 採用情報
  • ブログ
  • お問い合わせ
  • ご予約について
  • このサイトの責任者情報

© 2023 EST EST DENTAL CARE. all rights reserved.

24時間オンライン予約はこちら

PAGE TOP